Impact Journals News
Aging
ONCOTARGET
VIEW MORE ONCOTARGET ARTICLES ➜
ONCOSCIENCE
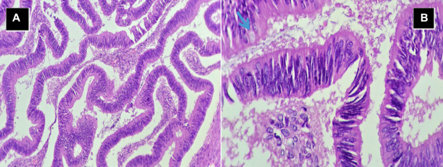
Rare Extraluminal Esophageal Cancer Invades Spine Despite Normal Endoscopy
“Esophageal tumors can rarely escape endoscopic detection by growing in atypical patterns, such as entirely outside the esophageal lumen.” BUFFALO, NY — May 14, 2026 — A new case report was published in Volume 13 of Oncoscience on March 19,…
Low-Cost Color Sensor Device Enables Rapid Detection of Ovarian Cancer Biomarkers
“A sensitive nucleic acid detection approach based on tracing the inorganic phosphate (Pi) created during amplification by means of the colorimetric method has been presented.” BUFFALO, NY — May 7, 2026 — A new research paper was published in Volume…
Lifestyle, Diet, and Clinical Factors Shape the Gut Microbiome in Cancer Patients
“Lifestyle factors, such as physical activity and dietary modifications can beneficially modulate the gut microbiome of cancer patients, however their effects are often shaped by non-modifiable variables.” BUFFALO, NY — April 28, 2026 — A new review was published in…
VIEW MORE ONCOSCIENCE ARTICLES ➜
GENES & CANCER
Epstein-Barr Virus Protein EBNA1 Upregulates Oncogenes in Cervical Cancer Cells
“Our findings suggest that increase expression levels of Derlin1 and PSMD10 genes in HeLa cells by the EBV-EBNA1 might induce cancer cell survival and accelerates the development of cervical cancer (CC).” BUFFALO, NY- August 22, 2025 – A new research…
New Study Identifies lncRNAs CBR3-AS1 and PCA3 as Potential Biomarkers for Early Detection of Gastric Cancer
“In GC, CBR3-AS1 and PCA3 may be utilized as therapeutic targets and prognostic biomarkers, respectively.” BUFFALO, NY- June 5, 2025 – A new research paper was published in Volume 16 of Genes & Cancer on May 9, 2025, titled “Evaluation…
VIEW MORE GENES & CANCER ARTICLES ➜
NEWS
Impact Journals to Participate at AACR Annual Meeting 2026 in San Diego
Conference attendees are warmly invited to visit Booth 3641 to meet members of the Impact Journals team, discover notable recent publications, and discuss opportunities for collaboration. BUFFALO, NY – March 16, 2026 – Impact Journals (publisher of Aging-US, Oncotarget, Oncoscience,…
Impact Journals Sponsors Open Access Team in 2025 Ride for Roswell
Impact Journals is once again proudly sponsoring the Open Access Team in the annual Ride for Roswell. BUFFALO, NY — June 10, 2025 — The Ride for Roswell, one of the USA’s largest cycling events supporting cancer research, returns to…
Impact Journals to be Featured at SSP 47th Annual Meeting in Baltimore
Impact Journals is pleased to participate as an exhibitor at the Society for Scholarly Publishing (SSP) 47th Annual Meeting from May 28–30, 2025, in Baltimore, Maryland. BUFFALO, NY – May 5, 2025 – Impact Journals is pleased to announce its…














