top
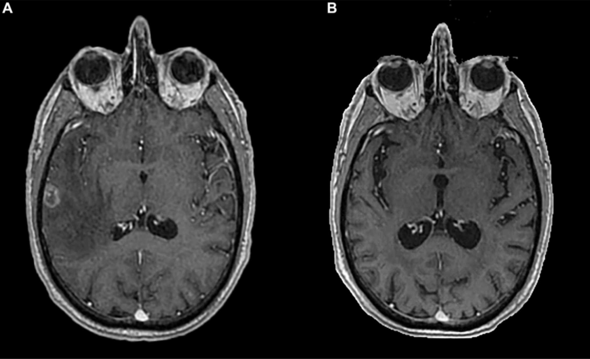
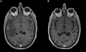
Long-lasting Immunotherapy Response in Stage IV Lung Cancer with Brain Metastasis
October 18, 2024